Gekozen is om de video’s via youtube te laten zien. Reden hiervoor is dat ieder platform dit ondersteunt.


Een 47-jarige patiënt met hartkloppingen en een geruis over het hart. Wat ziet u op het elektrocardiogram?

Auteur: Cyril Camaro,


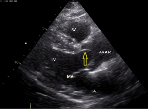
Video 1: echocardiografie parasternale lange as opname (PLAX)

Een lange as opname laat een excentrische sluitlijn zien van de klep en een bolle “opgeblazen” configuratie van de kleppen tijdens systole (doming van de klepblaadjes).

Figuur 1: Hier zie je hoe de klep wat opbolt

Video 2: echocardiografie korte as opname aortaklep (PSAX), zie ook figuur 3

Op de korte as opname ziet u dat de aortaklep wel degelijk uit twee klepblaadjes bestaat. Het stilstaand plaatje tijdens systole doet denken aan een vissenbek. Er moet dus sprake zijn van een bicuspide aortaklep

Figuur 3: Een stilstaand plaatje van video 2

Echo en tekening van een patient met een normale tricuspide aotaklep

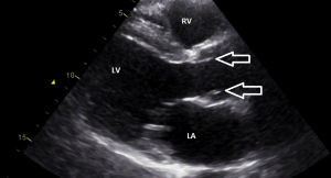
Video 3 van een patient met een normale aortaklep en vergroot linkeratrium

Figuur 7: patient met een normale aortaklep en vergroot linkeratrium

 


ECG:

Op het elektrocardiogram ziet u een onregelmatig en snel ritme. Er is sprake van boezemfibrilleren met een ventrikelvolgfrequentie van ongeveer 100 tot 130/min. De stand van de elektrische hartas is normaal. Een QRS duur van 80 msec. Lichte downsloping ST-segment in afleidingen III en aVF. De voltages imponeren ruim op het oog maar de sokolow index voor linkerventrikelhypertrofie wordt net niet gehaald.

Figuur 2

 

 

Figuur 3

 


Hartgeluiden

De 2 hoofdtonen worden veroorzaakt door het sluiten van hartkleppen:
Voor S1 zijn dit de atrioventriculaire kleppen (mitralisklep voor linkerhart, tricuspidalisklep voor het rechterhart).
Voor S2 zijn dit de semilunariskleppen (de aortaklep voor het linkerhart en de pulmonalisklep voor het rechterhart).
Het sluiten van de kleppen zelf maakt echter geen geluid. Het is de turbulentie van het bloed als gevolg van de sluiting die het geluid veroorzaakt[1]. Meestal is het geluid van S1 ook luider, langer en van een lagere frequentie dan S2.

Stenose van de aorta veroorzaakt een hard systolisch ruizen. Door de kleine opening in de aortaklep bij dit ziektebeeld, moet de intraventriculaire druk oplopen tot 300-400 mmHg om bloed de aorta in te stuwen.