Gekozen is om de video’s via youtube te laten zien. Reden hiervoor is dat ieder platform dit ondersteunt.
Een 50-jarige vrouw met acuut pijn op de borst. Wat ziet u op het elektrocardiogram?
Auteur: Cyril Camaro, cardioloog
Figuur 1a – Elektrocardiogram ambulance
Figuur 1b – Elektrocardiogram ambulance 18 minuten later
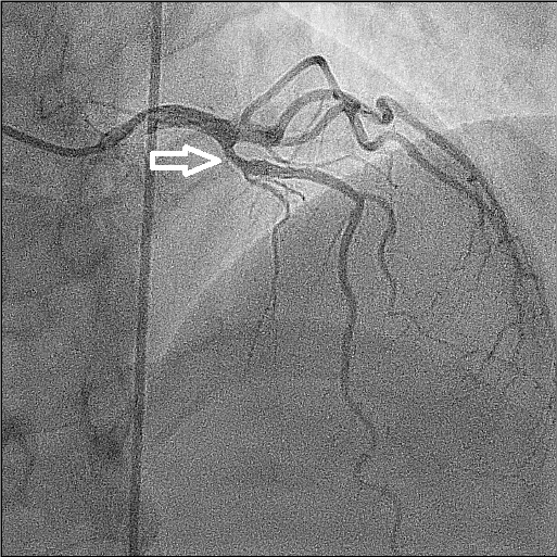
Figuur 2 – Linkerkransslagader (LCA) vóór toediening nitroglycerine intracoronair.
Witte pijl geeft de locatie aan waar de spasme zich bevindt.

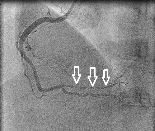
Figuur 3 – Rechterkransslagader (RCA) vóór toediening nitroglycerine intracoronair.
De witte pijlen geven het traject aan waar ernstige spasme aanwezig is.

Video 1a – RCA vóór toediening nitroglycerine intracoronair
Video 1b – RCA na toediening nitroglycerine intracoronair
Video 2a – LCA vóór toediening nitroglycerine intracoronair
Video 2b – LCA na toediening nitroglycerine intracoronair

