Gekozen is om de video’s via youtube te laten zien. Reden hiervoor is dat ieder platform dit ondersteunt.
Een 44-jarige man met pijn op de borst. Wat ziet u op het elektrocardiogram?
Auteur: Cyril Camaro, cardioloog
Figuur 1: ECG

Video’s met coronairangiografie (CAG) beelden:
Video 1 – rechterkransslagader; let op de collaterale vulling naar de LAD
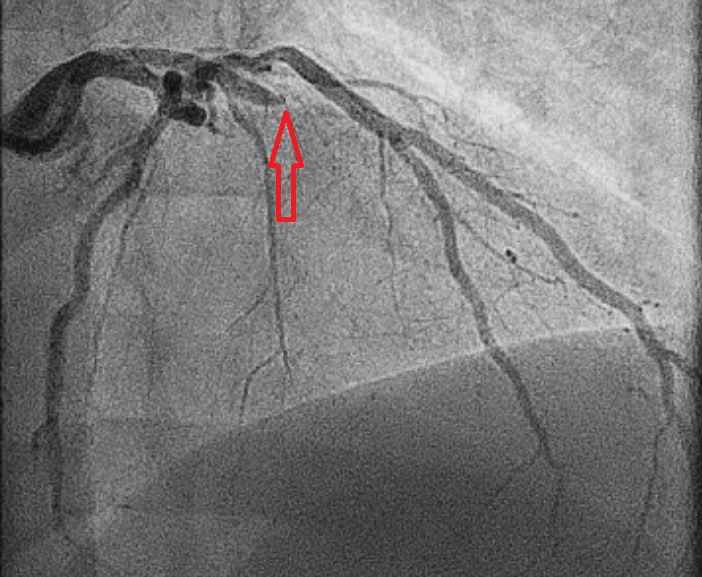
Video 2 – linkerkransslagader; let op de afsluiting in het midden van de LAD
Figuur 2: Met de rode pijl is aangegeven waar de occlusie zich bevindt.

Figuur 3: Schematische weergave van de coronaire vaatboom. Met een rode stip is aangegeven waar de occlusie zich bevindt.

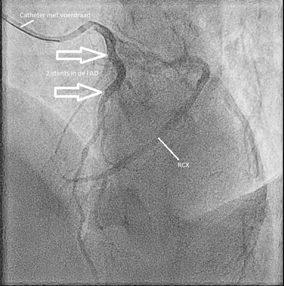
Video 3 en 4 – LAD na stenting (2 drug eluting stents zijn geplaatst). De LAD heeft weer goede flow.
Figuur 4: Met twee pijlen wordt aangegeven waar de stents zich bevinden.

