Gekozen is om de video’s via youtube te laten zien. Reden hiervoor is dat ieder platform dit ondersteunt.
Een 85-jarige patiënte met een hartgeruis na doorgemaakt hartinfarct.
Wat ziet u op het elektrocardiogram?
Auteur: Cyril Camaro, cardioloog

Video 1 / Figuur 1
Let op de nog redelijke linkerventrikelfunctie en de duidelijk gedilateerde boezems.
De rechter ventrikel is gedilateerd en eveneens afgenomen in functie.
Figuur 1: behorende bij video 1. Transthoracale echocardiografie. Apicale 4-kameropname. RA= rechteratrium. RV= rechterventrikel. IVS= interventriculair septum. LA=linkeratrium. LV=linkerventrikel. TV= tricuspidalisklep. MV=mitralisklep

Video 2 / Figuur 2
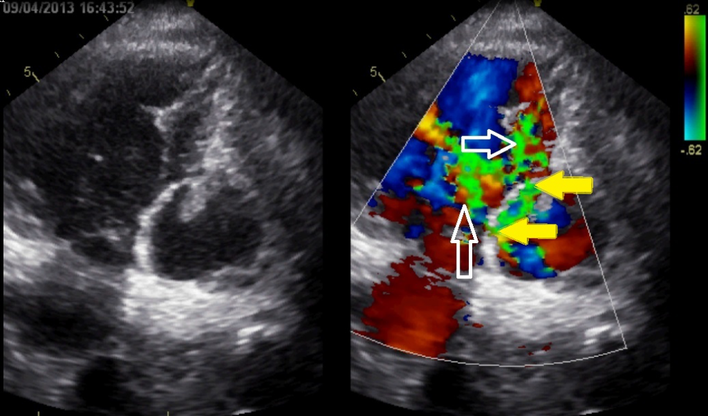
Figuur 2: behorende bij video 2. Transthoracale echocardiografie. Apicale 4-kameropname, iets met de echotransducer gedraaid.
Er is flow te zien (met witte pijlen aangegeven) vanuit de linkerkamer naar de rechterkamer. De gele pijl geeft de plaats van de ruptuur aan.

Video 3 / Figuur 3
Let op het blauwe kleursignaal.
Het signaal geeft aan dat de flow van de probe afgaat (blauw) en dus een shunt van links naar rechts weergeeft
Video 3 en figuur 3 betreft wel een voorbeeld echocardiografie van een andere patient met een ventrikelseptumruptuur.
Het VSR zit nl op een andere plaats.
Figuur 3: TTE apicale 4-kamer. De witte pijl geeft de shunt aan en de plaats van de ruptuur.

Schematisch overzicht van de bevindingen tijdens de rechtscatheterisatie. De bolletjes met getallen zijn saturaties. De rechthoeken met getallen drukmetingen. CO=cardiac output. CI=cardiac index. Qp:Qs is de shuntberekening. Let op dit plaatje op de zuurstofsprong en de lage arteriële bloeddruk.
ECG

