Gekozen is om de video’s via youtube te laten zien. Reden hiervoor is dat ieder platform dit ondersteunt.


Een 74-jarige man met een symptomatische ernstige mitralisklepinsufficiëntie. Wat ziet u op het elektrocardiogram?

Auteur: Cyril Camaro, cardioloog


Video 1a – slokdarmechocardiografie, cine opname linkerventrikel. Let op de verminderde kinetiek van de linkerventrikel

Figuur B – Slokdarmechocardiografie, 2-kamer opname linkerventrikel. LV=linkerventrikel. LA=linkeratrium, MV=mitralisklep, LAA=linker hartoor


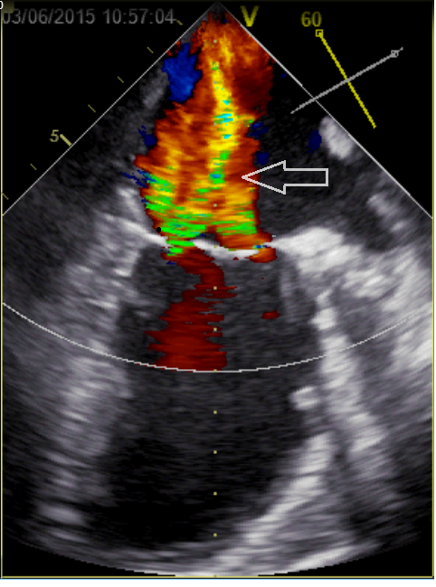
Video 1b – Slokdarmechocardiografie vóór mitraclipbehandeling, 2-kamer opname linkerventrikel. Met color doppler is de ernstige insufficiëntie zichtbaar

Figuur C – Slokdarmechocardiografie, 2-kamer opname linkerventrikel. De pijl geeft de (ernstige) mitralisklepinsufficiëntie aan.


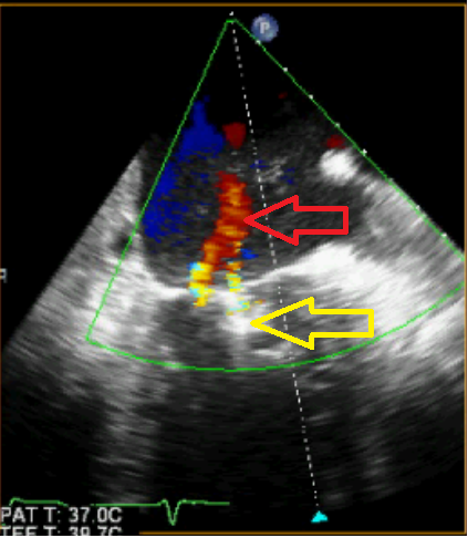
Video 2 – Slokdarmechocardiografie ná mitraclipbehandeling, 2-kamer opname linkerventrikel. Met color doppler is er nog een milde insufficiëntie zichtbaar.

Figuur D –  Slokdarmechocardiografie, 2-kamer opname linkerventrikel. De rode pijl geeft de milde mitralisklepinsufficiëntie aan. Vergeleken met figuur C is er een aanzienlijke reductie van de lekkage. De gele pijl geeft de lokalisatie aan van de MitraClip


Figuur E – MitraClip systeem